
Πρωταρχικός μας στόχος είναι η ικανοποίηση όλων των ασθενών που μας εμπιστεύονται. Γι’ αυτό, οι υψηλής ποιότητας υπηρεσίες μας προσαρμόζονται στις ανάγκες του εκάστοτε περιστατικού, το κόστος της προσφερόμενης θεραπείας εκτιμάται κυρίως με βάση το εγγυημένο αποτέλεσμά της, ενώ συνεχίζουμε να παρακολουθούμε την πορεία των ασθενών μας και μετά την αποκατάσταση του προβλήματός τους.
Λεύκανση ενδοδοντικά θεραπευμένων δοντιών, Λεύκανση δοντιών με ζωντανό πολφό, Τοποθέτηση όψεων από πορσελάνη, Στεφάνες εξ ολοκλήρου από πορσελάνη, Στεφάνες Ζιρκονίας, Όψεις από σύνθετη ρητίνη, Εμφράξεις (σφραγίσματα) σύνθετης ρητίνης, δεν υπάρχει υπηρεσία αισθητικής οδοντιατρικής που δεν παρέχεται στην κλινική μας! Αποσκοπώντας, όμως, στη δημιουργία ενός ελκυστικά αισθητικού αποτελέσματος, δεν παραμελούμε ποτέ τους λειτουργικούς παράγοντες που ενέχονται σε οποιαδήποτε θεραπευτική και προσθετική αποκατάσταση.
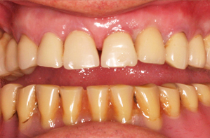
Πρίν
Μετά
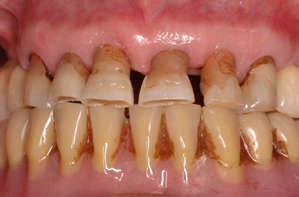
Πρίν
Μετά
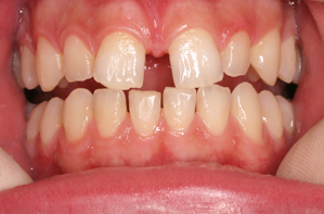
Πρίν
Μετά