Υπηρεσίες

Η Περιοδοντολογία αποτελεί την ειδικότητα της οδοντιατρικής εκείνη που αφορά στην αντιμετώπιση των νόσων του περιοδοντίου, των στηρικτικών ιστών, δηλαδή, που περιβάλλουν τα δόντια. Οι κυριότερες μορφές νόσων των ούλων είναι η ουλίτιδα και η περιοδοντίτιδα και είναι υπεύθυνες για την απώλεια περισσότερων δοντιών, από ότι όλα τα άλλα οδοντικά νοσήματα μαζί.

Περιοδοντολογία

Η Περιοδοντολογία αποτελεί την ειδικότητα της οδοντιατρικής εκείνη που αφορά στην αντιμετώπιση των νόσων του περιοδοντίου, των στηρικτικών ιστών, δηλαδή, που περιβάλλουν τα δόντια. Οι κυριότερες μορφές νόσων των ούλων είναι η ουλίτιδα και η περιοδοντίτιδα και είναι υπεύθυνες για την απώλεια περισσότερων δοντιών, από ότι όλα τα άλλα οδοντικά νοσήματα μαζί.

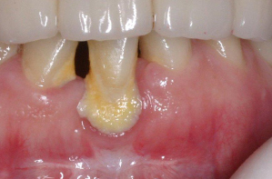
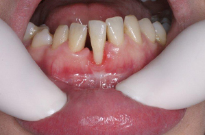
Δείγμα δουλειάς

Πρίν

Μετά