Προσθετική
Ακίνητη Προσθετική
Η ακίνητη οδοντική προσθετική αποτελεί κλάδο της επανορθωτικής οδοντιατρικής. Βασικός σκοπός της είναι η επανόρθωση εκτεταμένων βλαβών της μύλης και η αναπλήρωση ελλειπόντων δοντιών, με αποκαταστάσεις οι οποίες σχεδιάζονται, κατασκευάζονται και συγκολλούνται μόνιμα επί των υπαρχόντων φυσικών δοντιών.
Η αποκατάσταση φθορών και ελλείψεων των οδοντικών φραγμών συνιστά μία από τις τολμηρότερες επεμβάσεις στο στόμα του ανθρώπου, καθώς οι συνέπειές της επηρεάζουν την υγεία και τη λειτουργία της μείζονος περιοχής του στοματογναθικού συστήματος και άλλων ιστών και οργάνων της στοματικής κοιλότητας.
Κινητή Προσθετική
Η κινητή οδοντική προσθετική περιλαμβάνει τη μελέτη και την κατασκευή ολικών και μερικών οδοντοστοιχιών. Οι οδοντοστοιχίες αυτές αφορούν συνήθως σε ασθενείς προχωρημένης ηλικίας και έχουν σκοπό να αποκαταστήσουν λειτουργικά το στοματογναθικό σύστημα μετά την καθολική απώλεια δοντιών μετά την καθολική απώλεια δοντιών από τη μία ή και τις δύο γνάθους.
Οι μερικές οδοντοστοιχίες αναφέρονται στην αποκατάσταση μερικής νωδότητας των γνάθων κι αποτελούν συνδυασμό νωδών περιοχών και παραμένοντων δοντιών. Στόχος τους είναι να συμπληρώσουν τα ελλείποντα φυσικά δόντια στον φραγμό και τα ελλείμματα σκληρών και μαλακών ιστών, να αποκαταστήσουν τη σύγκλειση, την αισθητική, τον έναρθρο λόγο, αλλά και τη μάσηση, να διατηρήσουν την υγεία των ιστών του στόματος και να εμποδίσουν περαιτέρω επιδείνωση των συνεπειών που δημιούργησε η απώλεια ορισμένων φυσικών δοντιών.
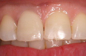
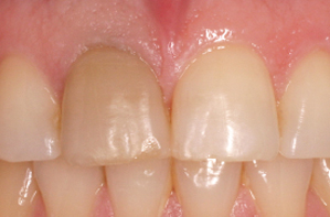
Δείγμα δουλειάς
Πρίν
Μετά
Aκίνητη προσθετική με στεφάνη ζιρκονίου - πορσελάνης. Οι στεφάνες ζιρκονίου αποτελούνται εξωτερικά από πορσελάνη και εσωτερικά από διοξείδιο του ζιρκονίου.
O οδοντίατρός σας προσπάθησε όσο μπορούσε ώστε να μείνετε ευχαριστημένος από τις καινούργιες οδοντοστοιχίες. Από εδώ και πέρα όμως η καλή εξυπηρέτησή σας με αυτες εξαρτάται από εσάς τους ίδιους που πρέπει να τηρήσετε πιστά τις παρακάτω οδηγίες:
- Πρέπει να ξέρετε ότι κατά την πρώτη περίοδο μετά τη τοποθέτηση των οδοντοστοιχιών σας χρειάζετε αρκετή υπομονή ώσπου να τις συνηθίσετε γιατί οι οδοντοστοιχίες δεν ειναι δυνατόν να σας εξυπηρετήσουν καλά από τη πρώτη μέρα και ίσως χρειασθεί να περάσει αρκετός χρόνος για να μπορέσετε νατρώτε άνετα. Πάντως μετά τη πρώτη εβδομάδαθα αρχίσετε να αισθάνεσθε καλύτερα και η βελτίωση θα αυξάνετε μέρα με τη μέρα.
- Συχνά οι οδοντοστοιχίες προκαλούν πόνο σε κάποιο σημείο. Τότε πρέπει να επισκεφθείτε αμέσως τον οδοντίατρο για να διορθωθεί η μικρή ανωμαλία που προκαλεί τον πόνο. Εάν παραμελήσετε να επισκεφθείτε τον οδοντίατρο η οδοντοστοιχία θα προκαλέσει τραύμα. Εάν δεν μπορείτε να πάτε αμέσως στον οδοντίατρο πρέπει να βγάλετε τις οδοντοστοιχίες από το στόμα και να τις φυλάξετε μέσα σε ένα ποτήρι σκεπασμένες με νερό και να τις φορέσετε ξανά μια μέρα πριν πάτε στον οδοντίατρο.
Επίσης πρέπει να έχετε υπόψη σας τα παρακάτω:
- Οι οδοντοστοιχίες, τα ούλα και τα φυσικά δόντια πρέπει να βουρτσίζονται καλά σε όλες τις επιφάνειες τους και ακόμη πιο προσεκτικά στις επιφάνειες που σκεπάζονται από τα μέρη των οδοντοστοιχιών.
Πρέπει οι ολικές οδοντοστοιχίες και το στόμα να εξετάζονται κάθε έξι μήνες.
- Πρέπει οι ολικές οδοντοστοιχίες και το στόμα να εξετάζονται κάθε έξι μήνες. Οι κυριότεροι λόγοι που επιβάλλουν αυτή την εξέταση είναι να προλαμβάνεται κάθε καταστροφή φυσικού δοντιού σε πρώιμο στάδιο, και να εφαρμόζεται εκ νέου η οδοντοστοιχία όταν η εφαρμογή της πάψει να είναι καλή.
- Οι οδοντοστοιχίες πρέπει να τοποθετούνται στη θέση τους με πίεση η οποία θα εξασκείται ταυτόχρονα στα τεχνητά δόντια της αριστερής και της δεξιάς πλευράς της οδοντοστοιχίας. Δεν επιτρέπεται να πιέζεται πρώτα η μία και μετά η άλλη πλευρά της οδοντοστοιχίας για να τοποθετηθεί στη θέση της. Η αφαίρεση της οδοντοστοιχίας πρέπει να γίνεται επίσης με δύναμη που ασκείται με τα νύχια των δακτύλων, ταυτόχρονα στην αριστερή και στη δεξιά πλευρά της οδοντοστοιχίας και συνεπώς να απομακρύνεται πρώτα η μία και μετά η άλλη από τη θέση της.
- Τη νύχτα οι οδοντοστοιχίες πρέπει να παραμένουν στο στόμα, ώσπου να τις συνηθίσετε. Αργότερα, καλό είναι να τις βγάζετε τη νύχτα, για να ξεκουράζεται το στόμα σας και να επανέρχεται η κανονική λειτουργία του αίματος που είχε διαταραχθεί κατά τη διάρκεια που τις φορούσατε.
- Ποτέ μην αφήνετε τις οδοντοστοιχίες σας εκτεθειμένες στον αέρα αλλά να τις τοποθετείτε σε ένα ποτήρι με νερό.
Εάν τηρήσετε πιστά τις παραπάνω οδηγίες , θα μείνετε πολύ ευχαριστημένοι από τις καινούργιες οδοντοστοιχίες σας.
Ο οδοντίατρός σας προσπάθησε όσο μπορούσε ώστε να μείνετε ευχαριστημένος από τις καινούργιες οδοντοστοιχίες. Από εδώ και πέρα όμως η καλή εξυπηρέτησή σας με αυτές εξαρτάται από εσάς τους ίδιους που πρέπει να τηρήσετε πιστά τις παρακάτω οδηγίες.
- Πρέπει να ξέρετε ότι κατά τη πρώτη περίοδο μετά τη τοποθέτηση των οδοντοστοιχιών σας χρειάζεται αρκετή υπομονή ώσπου να τις συνηθίσετε γιατί οι οδοντοστοιχίες δεν είναι δυνατόν να σας εξυπηρετήσουν καλά από τη πρώτη μέρα και ίσως χρειασθεί να περάσει αρκετός χρόνος για να μπορέσετε να τρώτε άνετα.
- Στις δύο πρώτες μέρες πρέπει να τρώτε μαλακή τροφή και να αποφεύγετε όσα τρόφιμα είναι σκληρά και κολλώδη. Εξάλλου η τροφή πρέπει να κόβετε σε μικρά κομμάτια πριν μπει στο στόμα και να μασιέται σιγά σιγά και προσεκτικά με τα πίσω δόντια έτσι τα πρώτα σας γεύματα θα διαρκέσουν περισσότερο από το συνηθισμένο αλλά ο τρόπος αυτός είναι απαραίτητος ώσπου σιγά σιγά συνηθίσετε να τρώτε άνετα με τις οδοντοστοιχίες.
- Πρέπει να προσέξετε και κάτι άλλο. Τις πρώτες μέρες πρέπει να αποφεύγετε να συζητάτε για τις καινούργιες οδοντοστοιχίες σας ώστε να αποφύγετε κάθε κριτική και σχόλιο η πείραγμα για αυτές. Γιατί ένα δυσμενές σχόλιο, ένα αστείο ή ένα πείραγμα μπορεί να σας στεναχωρήσει άδικα και να σας κάνει να χάσετε τη ψυχραιμία σας και την αυτοπεποίθησή σας.
- Δεν αποκλείεται στην αρχή το πρόσωπό σας να δείχνει κάπως παραμορφωμένο και τα χείλη φουσκωμένα. Αυτά δεν πρέπει να σας κάνουν καμία εντύπωση, γιατί με το πέρασμα των ημερών η εμφάνιση του προσώπου σας θα αποκατασταθεί στο φυσιολογικό.
- Για να συνηθίσετε τις οδοντοστοιχίες σας χρειάζεται να περάσει αρκετός χρόνος. Όσοι είναι 30-40 ετών θα χρειασθούν περίπου τρεις εβδομάδες, για να εξοικειωθούν με τις καινούργιες οδοντοστοιχίες τους. Όσοι είναι 40 ετών και άνω θα χρειασθούν λίγο περισσότερο καιρό. Ωστόσο όλοι αρχίζουν να αισθάνονται καλύτερα μετά τη πρώτη εβδομάδα και η βελτίωση συνεχίζεται μέρα με τη μέρα.
- Συχνά οι οδοντοστοιχίες προκαλούν πόνο σε κάποιο σημείο. Στη περίπτωση αυτή να επισκεφθείτε αμέσως τον οδοντίατρο, για να διορθώσει τη μικρή ανωμαλία, που προκαλεί πόνο. Αν αμελήσετε να επισκεφθείτε τον οδοντίατρο, η οδοντοστοιχία θα προκαλέσει τραύμα. Αν δεν μπορείτε να πάτε αμέσως στον οδοντίατρο, πρέπει να βγάλετε τις οδοντοστοιχίες από το στόμα, να τις φυλάξετε μέσα σε ένα ποτήρι σκεπασμένες με νερό και να τις φορέσετε ξανά μία μέρα πριν πάτε στον οδοντίατρο. Αυτό μπορεί να είναι κάποια ταλαιπωρία για σας, αλλά για τον οδοντίατρο έχει μεγάλη σημασία, γιατί αυτός έτσι μόνο θα διαπιστώσει από πιο σημείο της οδοντοστοιχίας προκαλείται ο τραυματισμός για να σας απαλλάξει το γρηγορότερο από τους πόνους.
- Τη νύχτα οι οδοντοστοιχίες πρέπει να παραμένουν στο στόμα, ώσπου να τις συνηθίσετε. Αργότερα, κάλο είναι να τις βγάζετε τη νύχτα, για αν ξεκουράζεται το στόμα σας και να επανέρχεται η κανονική λειτουργιά του αίματος που είχε διαταραχθεί κατά τη διάρκεια που τις φορούσατε.
- Ποτέ μην αφήνετε τις οδοντοστοιχίες σας εκτεθειμένες στον αέρα, άλλα να τις τοποθετείτε σε ένα ποτήρι με νερό.
Καλό είναι να γνωρίζετε ότι η επιτυχία των οδοντοστοιχιών σας εξαρτάται από τους εξής παράγοντες:
- Γενική υγεία.
- Μέγεθος και σχήμα σιαγόνων [ούλων].
- Ηλικία.
- Κατάσταση ούλων.
- Υπομονή και ιδιοσυγκρασία ασθενούς.
Αν τηρήσετε πιστά τις παραπάνω οδηγίες, θα μείνετε πολύ ευχαριστημένοι από τις καινούργιες οδοντοστοιχίες σας.
Οι οδοντοστοιχίες πρέπει να καθαρίζονται καλά αφού τις βγάλετε από το στόμα ύστερα από κάθε γεύμα με σαπούνι νερό και με κατάλληλη βούρτσα.
Το βούρτσισμα πρέπει να γίνεται πάνω από μία λεκάνη γεμάτη νερό ώστε εάν η οδοντοστοιχία ξεφύγει από τα χέρια σας να μην χτυπήσει αλλά να πέσει μέσα στο νερό.
Δεν πρέπει να τοποθετούμε την οδοντοστοιχία μέσα σε ζεστό νερό διότι έτσι κινδυνεύει να στραβώσει.
Για τον καθαρισμό των οδοντοστοιχιών μπορείτε να χρησιμοποιήσετε και τις ειδικές σκόνες η τα ειδικά διαλύματα που κυκλοφορούν στο εμπόριο πάντοτε όμως με τις οδηγίες που τα συνοδεύουν.