Υπηρεσίες

Πρωταρχικός μας στόχος είναι η ικανοποίηση όλων των ασθενών που μας εμπιστεύονται. Γι’ αυτό, οι υψηλής ποιότητας υπηρεσίες μας προσαρμόζονται στις ανάγκες του εκάστοτε περιστατικού, το κόστος της προσφερόμενης θεραπείας εκτιμάται κυρίως με βάση το εγγυημένο αποτέλεσμά της, ενώ συνεχίζουμε να παρακολουθούμε την πορεία των ασθενών μας και μετά την αποκατάσταση του προβλήματός τους.

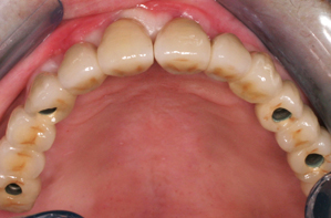
Εμφυτεύματα

Τα οδοντικά εμφυτεύματα ήρθαν για να αλλάξουν τη ζωή μας! Είναι ειδικά σχεδιασμένα για να αποτελούν την υποδομή σε περιπτώσεις αποκατάστασης των δοντιών, για δίνουν την αίσθηση και να έχουν την λειτουργία των φυσιολογικών δοντιών. Αποτελούν μικροσκοπικούς στύλους από τιτάνιο, οι οποίοι εισάγονται στην γνάθο, όπου λείπουν τα δόντια. Τα μεταλλικά τους στηρίγματα λειτουργούν ως υποκατάστατα της ρίζας του δοντιού και τοποθετούνται στη γνάθο μέσω χειρουργικής επέμβασης. Έτσι, ο δεσμός του οστού με το τιτάνιο, δημιουργεί μια ισχυρή υποδομή για τα τεχνητά δόντια, οι ασθενείς χαμογελούν ξανά με αυτοπεποίθηση, ενώ παράλληλα διατηρείτε η δομή του προσώπου τους.

Δείγμα δουλειάς

Πρίν

Μετά