Υπηρεσίες

Πρωταρχικός μας στόχος είναι η ικανοποίηση όλων των ασθενών που μας εμπιστεύονται. Γι’ αυτό, οι υψηλής ποιότητας υπηρεσίες μας προσαρμόζονται στις ανάγκες του εκάστοτε περιστατικού, το κόστος της προσφερόμενης θεραπείας εκτιμάται κυρίως με βάση το εγγυημένο αποτέλεσμά της, ενώ συνεχίζουμε να παρακολουθούμε την πορεία των ασθενών μας και μετά την αποκατάσταση του προβλήματός τους.

Προληπτική Οδοντιατρική

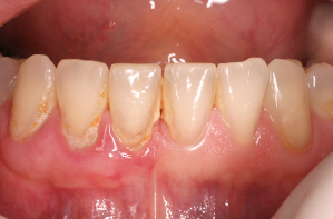
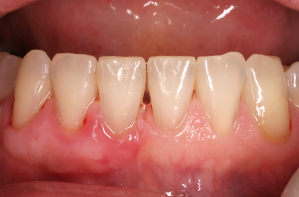
Ανάλογα με τις ανάγκες του κάθε ασθενούς, επιβάλλεται εξαμηνιαίος ή ετήσιος έλεγχος και καθαρισμός των δοντιών. Κατά τη διαδικασία αυτή, αφαιρείται η πέτρα και η μικροβιακή πλάκα από τις επιφάνειες των δοντιών και αποτρέπεται η δημιουργία ουλίτιδας και τερηδόνας.

Ο καθαρισμός των δοντιών πραγματοποιείται με χρήση εργαλείων χειρός και υπερήχων, ενώ μετά την ολοκλήρωσή του, ακολουθεί στίλβωση. Αφαιρούνται, δηλαδή, οι επιφανειακές χρωστικές της εξωτερικής επιφάνειας της αδαμαντίνης.

Καθαρισμός - Στίλβωση

Πρίν

Μετά

Οδηγίες στοματικής υγιεινής

Βασικά είδη στοματικής υγιεινής