Υπηρεσίες

Πρωταρχικός μας στόχος είναι η ικανοποίηση όλων των ασθενών που μας εμπιστεύονται. Γι’ αυτό, οι υψηλής ποιότητας υπηρεσίες μας προσαρμόζονται στις ανάγκες του εκάστοτε περιστατικού, το κόστος της προσφερόμενης θεραπείας εκτιμάται κυρίως με βάση το εγγυημένο αποτέλεσμά της, ενώ συνεχίζουμε να παρακολουθούμε την πορεία των ασθενών μας και μετά την αποκατάσταση του προβλήματός τους.

Ορθοδοντική

Ορθοδοντική είναι ειδικότητα της οδοντιατρικής, η οποία ασχολείται με τη διευθέτηση των δοντιών στα οδοντικά τόξα και την καθοδήγηση των γνάθων σε αρμονικές θέσεις μεταξύ τους, με στόχο τόσο την αποκατάσταση της καλής λειτουργίας του στόματος, όσο και της αισθητικής του προσώπου.

Η ορθοδοντική θεραπεία θεωρείται απαραίτητη σε περιπτώσεις με οδοντικές, σκελετικές και λειτουργικές αποκλίσεις του στόματος.

Μπορεί κανείς να διακρίνει τρεις τύπους ορθοδοντικών προβλημάτων:

Η κατασταλτική ορθοδοντική αρχίζει συνήθως στην ηλικία των 6-9 ετών, με σκοπό να αναχαιτίσει την εξέλιξη σκελετικών δυσαρμονιών των γνάθων, όποια ασυμμετρία του προσώπου ή και οδοντικών προβλημάτων, τα οποία χωρίς έγκαιρη αντιμετώπιση θα επιδεινωθούν.

Η επανορθωτική ορθοδοντική έχει σκοπό να θεραπεύσει τα ήδη υπάρχοντα προβλήματα σε παιδιά ή ενηλίκους και η έναρξή της αποφασίζεται από τον ορθοδοντικό, ανάλογα με το είδος του προβλήματος και το στάδιο της οδοντικής και σκελετικής ανάπτυξης του ατόμου.

Οι μηχανισμοί που χρησιμοποιούνται κατά την ορθοδοντική θεραπεία μπορεί να είναι είτε κινητοί είτε σταθεροί στα δόντια και χρησιμοποιούνται και μετά την ολοκλήρωση της ορθοδοντικής μετακίνησης, για διάστημα που ορίζεται κατά περίπτωση από τον ορθοδοντικό, προκειμένου να διατηρηθεί το αποτέλεσμα.

Για πιο ήπιες οδοντικές αποκλίσεις έχει αναπτυχθεί με η χρήση διάφανων ναρθήκων (invisalign) για τη μετακίνηση των δοντιών. Συγκεκριμένα, πρόκειται για μια σειρά από νάρθηκες, ο καθένας των οποίων μετακινεί χιλιοστό προς χιλιοστό τα δόντια στην καθορισμένη από τον ορθοδοντικό θέση.

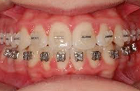
Ορθοδοντική ενηλίκων

Ασθενείς με ορθοδοντικά προβλήματα που δεν αντιμετωπίστηκαν σε νεαρή ηλικία, μπορούν να κάνουν ορθοδοντική ως ενήλικες. Βέβαια, η ολοκλήρωση της ανάπτυξης περιορίζει την επίδραση των ορθοδοντικών μηχανισμών στον σκελετό του ατόμου και έτσι, η ορθοδοντική θεραπεία στοχεύει μόνο σε οδοντικές μετακινήσεις.

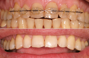
Δείγμα ορθοδοντικής θεραπείας σε ενήλικα

Πρίν

Μετά

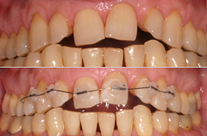
Αισθητική αποκατάσταση και ναρθηκοποίηση σε άτομο ηλικίας 65 ετών.